What is Tuberculosis (TB)?
Last Updated on 02/09/2026 by Helal Medical
Tuberculosis (TB), is an infectious disease caused by bacteria called Mycobacterium tuberculosis. It usually affects the lungs. It can also spread to other body parts like the brain, spine, and kidneys.
Tuberculosis (TB) spread
TB is spread through the air when an infected person coughs, sneezes, speaks, or sings. People who inhale the TB bacteria can become infected. However, not everyone infected with TB bacteria will develop the disease.
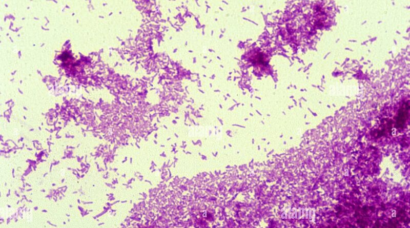
Shape of Mycobacterium tuberculosis under the microscope.
- It is a tiny, rod-shaped bacterium (Bacilli). It appears as a bright red rod (pink) when stained using the Ziehl-Neelsen stain.
- Under the microscope, it is straight or slightly curved.
- The bacterium has the following dimensions:
- Length: Approximately 2–4 µm (micrometers).
- Width: Approximately 0.2–0.5 µm.
- Its cell wall is unusually thick and waxy, which makes it challenging to penetrate with drugs.
- Photos
Forms of Tuberculosis (TB)
There are two main forms of TB:
- Latent TB infection (LTBI):
People with LTBI have TB bacteria in their bodies but are not sick and cannot spread the infection to others. However, they can develop TB disease if their immune system weakens. - TB disease:
People with TB disease are sick and can spread the infection to others.
| Latent TB infection (LTBI) | TB disease | |
| Disease | People with LTBI have TB bacteria in their bodies | People with TB disease are sick |
| Spread | cannot spread the infection to others | can spread the infection to others |
Symptoms of TB:
- A cough that lasts for three weeks or longer
- Chest pain
- Fever
- Night sweats
- Weight loss
- Fatigue
- Loss of appetite
If you are experiencing any of these symptoms, it is important to see a doctor to get tested for TB.
Diagnosis
Treatment
TB is treatable with antibiotics, but it is important to complete the full course of treatment to avoid developing drug-resistant TB.
Prevention
Here are some ways to prevent TB:
- Get vaccinated: The BCG vaccine can help protect children from developing severe forms of TB. However, it is not widely used in the United States.
- Cover your mouth and nose when you cough or sneeze.
- Stay away from people who are sick with TB.
- If you are infected with TB, complete the full course of treatment prescribed by your doctor.
By following these steps, you can help prevent the spread of TB.
SUMMARY
Tuberculosis (TB) is a bacterial infection, usually affecting the lungs, but can spread elsewhere. It spreads through the air when an infected person coughs or sneezes. There are two forms: latent TB (infection without symptoms) and active TB (causing sickness and transmissible). Symptoms of active TB include a persistent cough, fever, night sweats, and weight loss. TB is treatable with antibiotics, but completing the full course is crucial to avoid drug resistance. Preventative measures include vaccination (BCG), covering coughs, and avoiding close contact with infected individuals.
Read more
Discover more from Helal Medical Manila
Subscribe to get the latest posts sent to your email.

